Катенёв В.Л.
Случай из практики «От «ТЭЛА» до ДЕСТРУКЦИИ».
(Рентгенологическое отделение МУЗ «Красногвардейская центральная районная больница» Белгородской области).
Пациент преклонного возраста, находящийся на лечении в терапевтическом отделении, направлен на рентгенологическое исследование в связи с ухудшением общего состояния (повышение температуры на фоне антибиотиков, возникли боли в грудной полости, резкое «ухудшение показателей» по общему анализу крови). Высказывалось предположение о ТЭЛА, была поставлена задача «выявления» инфаркт – пневмонии. Необходимо отметить, что до настоящего времени, у многих клиницистов ТЭЛА (ЭЛА), как неразлучная пара ассоциируется с инфаркт пневмоний. Статистические данные (отечественные и зарубежные) свидетельствуют о том, что ТЭЛА, только в 10 % случаев сопровождается инфаркт – пневмонией.
Иллюстрация 1. Обзорная рентгенограмма. С обеих сторон определяется некоторое усиление и обогащение легочного рисунка. Справа умеренное снижение прозрачности легочной ткани. Справа медио-базально, в области хвоста правого корня определяется снижение прозрачности легочной ткани. Средостение несколько смещено вправо. Слева в 3 межреберье участок линейного склероза, левый корень обнажен.
Иллюстрации 2 и 3. Томограммы.
Иллюстрация 4. Томограмма – срез 5 см. Высказано предположении о наличии хронической пневмонии в задне-базальных сегментах.

Иллюстрации 5. На срезе 10 см. справа в корне создается впечатление «наличия увеличенных бронхопульмональных лимфатических узлов» и некоторое «сужение промежуточного бронха».
Было высказано предположение о наличии неопластического процесса в области промежуточного бронха справа, нарушении бронхиальной проходимости справа, с учетом гиповентиляции правого легочного поля, наличии хронической пневмонии в заднее-базальных сегментах правого лёгкого.
Пациент был направлен в областную больницу на СКТ. Протокол приводится ниже.
В обоих лёгких, преимущественно в кортикальных, субплевральных отделах определяются ретикулярные изменения в виде утолщения междольковых перегородок, повышения плотности легочной ткани по типу матового стекла. В нижней доле правого лёгкого определяются участки трапециевидной и клиновидной формы уплотнения легочной ткани с мелкими кальцинатами, широким основанием прилежащие к утолщенным листкам реберной плевры, более выраженные изменения интерстиция за счет перибронхиолярных утолщений. Слева определяется паракостальный плевральный выпот с толщиной слоя жидкости до 8 мм. Трахея – без особенностей. Бронхи 1 – 3 порядка проходимы, не деформированы. Стенки бронхов уплотнены. Сердце обычно расположено; конфигурация его не изменена. Камеры сердца не расширены. Грудной отдел аорты не расширен, стенки с участками кальцинации. Лимфатические узлы повышенной плотности: верхние паратрахеальные справа 5 мм., нижние паратрахеальные – 10 мм., трахеобронхиальные 10 – 12 мм., бифуркационные – 10 мм., бронхопульмональные слева обызвествлены. Мягкие ткани, костные структуры грудной клетки не изменены.
ЗАКЛЮЧЕНИЕ: Патологические изменения в нижней доле правого лёгкого могут соответствовать остаточным явлениям перенесенной пневмонии, инфарктам лёгкого вследствие тромбоэмболии легочной артерии. Паракостальный плевральный выпот слева. Двусторонний пневмофиброз (нельзя исключить ревматоидный артрит, антракоз, фиброзирующий пневмонит).
После проведения СКТ пациент лечится в терапевтическом отделении. Пациент отмечает некоторое улучшение состояния.
Через 4 дня после проведения СКТ состояние пациента резко ухудшается. Зав. терапевтическим отделением, с учетом резкого «изменения клиники» назначает рентгенографию ОГК.
Иллюстрации 6, 7, 8 – рентгенограмма в прямой проекции и фрагменты рентгенограммы с увеличением. Слева в верхней доле больших размеров деструкция, в средних отделах в прикорневой области снижение прозрачности легочной ткани, по всей видимости, за счет инфильтрации.
Иллюстрации 9, 10. В верхней доле левого лёгкого визуализируются множественные полости различных размеров, содержащие некоторое количество жидкости.
Иллюстрация 11. Несколько ниже верхушечного сегмента нижней доли определяется участок снижения прозрачности легочной ткани, величиной примерно с сегмент, неоднородной структуры.
Ниже на иллюстрациях 12 – 17 представлены томограммы и фрагменты с увеличением изображения.
Коллеги! Ваше мнение?
Позвольте добавить коммент. То что пациенту сделали КТ это очень хорошо; но насколько я понял делали без в/в контрастирования; теперь вопрос: зачем тогда вообще делали??? Что бы описать изменения паренхимы в легких? Таk они прекрасно описаны доктором рентгенологом.
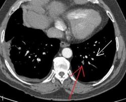
3аключение КТ что: далее цитирую "Патологические изменения в нижней доле правого лёгкого могут соответствовать остаточным явлениям перенесенной пневмонии, инфарктам лёгкого вследствие тромбоэмболии легочной артерии." это не заключение КТ по поводу ТЭЛА. Если пациент изначально направляется на КТ с подозрением на ТЭЛА, то и сьемка должан проводится по протоколу ТЭЛА (срезы 1 мм или ниже; болюс контраст; снимаем снизу вверх против тока крови). Я приведу ниже два скана разных пациентов с ТЭЛА:
скан 1: массивная тромбоэмболия обоих основных стволов.
скан 2: тромбоэмболия суб-сегментарных (!) веточек базальных сегментов левой нижней доли. Тромб указан красной стрелкой;нормальный сосуд белой.
Для справки: у меня мультидетекторный аппарат; 6-срезовой.

Let me see...
radiographia.ru
Спасибо за комментарий Доктор Марио и за представленные иллюстрации.
Здраствуйте Доктор Кaтенёв.
Надеюсь вы разделяете мою точку зрения? Хотя даже и не мою, это стандартный мировой протокол визуализации ТЭЛА.
Let me see...
radiographia.ru
Здравствуйте уважаемый Доктор Марио! Я не могу не разделять точку зрения, высказанную Вами, ибо - это благо для пациента. Я глубоко благодарен Вам за высказанное, и за приведенный "стандартный мировой протокол визуализации ТЭЛА", и обязательно подниму этот вопрос на ближайшем областном обществе врачей лучевых диагностов, а также перед главным рентгенологом области. Еще раз спасибо. С уважением В. Катенёв.
Здравствуйте. Др. Марио будьте добры дайте ссылку на мировые стандарты лучевой визуализации. Именно показания.
http://www.acr.org/
Let me see...
radiographia.ru